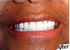
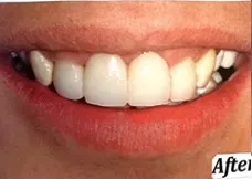
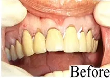
Before & After Gallery in Midland TX

Before and After Gallery

Location

4519 N Garfield St., Suite 16A, Midland, TX 79705

Office Hours

MON - THU 9:00 am - 5:00 pm

FRI - SUN Closed

Get in Touch

Email: [email protected]

Phone: (432) 570-7080